滋賀県大津市唐橋町22-6
Close
Staff Blog

病院日記

院長より

今週のミケりん「やっちゃった・・・」

お盆休みに入りましたが、皆様いかがお過ごしでしょうか?いろいろとご予定がおありでしょうか?

さて我が家では、特に大きな予定はなかったのですが、おてんば娘、ミケりんがやってくれました・・・!

ミケりんは、すごく活発で動きも素早く、今まで登れなかった所ににも大分登れるようになっていました。

トラオ兄ちゃんの様子を見ていて自分も同じようにしたいと思っていたのでしょうね!ついに空中回廊に登れるようになってしまい?ました!

トラオ兄ちゃんの後だってついていけるもん!

やっと登れるようになったならお祝いとして回廊を延長してキャットタワーに繋げてあげようとお得意のDIY。(これが悪かったのかとちょっと自己嫌悪・・・)

ご満悦のミケりん!

ところが、まだミケりんには早すぎたのか?朝食をとっていた時、なんか嫌な音が・・・

どうやら、降りる時に落ちたみたいで、前足を挙げています・・・

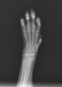
痛がってないのでちょっと様子見・・・時間が経ってもまだ挙げてる・・・腫れてきた・・・折れてるわ・・・ということで、レントゲン・・・

やっぱり・・・折れてるやん!しかも3本も!

獣医学的には内固定しないといけないけど・・・まだ、小さいし・・・外固定で行くか!(急に獣医師目線・・)

しゃぁないなぁ・・・安静のためミケりん入院・・・とんだおお盆休みになってしまいました・・・

トラオくんは、ミケりんがいなくなってリラックス?です・・・

ということで、皆様、よいお盆をお過ごしくださいませ。なお、お盆明けは17日からの診察になりますが、17日は瀬田川花火大会(船幸祭)のため午前診察のみとなりますのでご了承ください。ご迷惑をお掛けしますがよろしくお願いします。

LINE予約 Web予約