皆様、先日の台風21号はすごかったですね。被害などはございませんでしたでしょうか?
うちは大きな被害もなかったのですが、停電が辛かったです。病院の冷蔵庫にはワクチンや血液検査の試薬などがたくさん入っているので全部ダメになるとかなりの損害を被ることになるので、用意してあった発電機を初めて使ってなんとか乗り切りました!翌日は変な緊張と慣れない作業でぐったりでした・・・
ところで、ミケりんの骨折から今日でちょうど4週間になりました。ギブスの生活に慣れるのか心配しましたが、意外にもギブスを取ろうとしたり気にしたりもなく「頼むから安静にしてくれ」ってぐらい活発に動くのでそっちの方が大変でした!
トラオくんに飛び乗って噛みついたり

アイビーにもちょっかいを出したり

二人ともミケが骨折をしたのを理解してるのかと思うぐらいお利口で優しくミケに接してくれました!
でも、そんな二人の気持ちなど察してないよね〜見てください。このイタズラっ子の顔

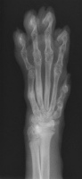
そして、ついにギブスをはずすことができました!


ナスビと言われていたギブス。キュウリもありました!小指が怪しいけどほぼくっ付いたかなぁ!
でも、油断は禁物。ミケりんはすごくオテンバさんなのでキャットタワーや猫階段はすべて撤去しました。あとひと月は無理はやめて欲しいです・・・
最後に以前にも「同行避難」で書き込みをしましたが、普段から災害時のために準備をしておきましょうね!動物の為にも!